پر کردن دندان چگونه انجام می‌شود؟ (مراحل، هزینه و انواع)

تا به حال درد ناگهانی دندان یا ایجاد لکه‌های سیاه روی مینای آن، شما را راهی مطب دندانپزشک کرده است؟ در چنین شرایطی، یکی از اولین و مؤثرترین گزینه‌های درمانی، پر کردن دندان است. تکنیکی رایج که با هدف ترمیم بخش‌های آسیب دیده دندان انجام می‌شود. این درمان نه تنها علائمی مانند دندان درد را تسکین می‌دهد، بلکه از پیشرفت پوسیدگی و آسیب‌های بیشتر جلوگیری می‌کند و به همین دلیل، یکی از رایج‌ترین خدمات ترمیمی دندانپزشکی محسوب می‌شود. اگر می‌خواهید درباره پر کردن دندان بیشتر بدانید، تا انتها همراه ما باشید.

پر کردن دندان

پر کردن دندان چیست؟

پر کردن دندان یکی از خدمات درمانی دندانپزشکی است که برای ترمیم دندان‌های آسیب دیده، شکسته یا پوسیده به کار می‌رود. این فرایند شامل تمیز کردن محل پوسیدگی، حذف بخش‌های آسیب دیده و سپس پر کردن حفره دندان با مواد پرکننده است. بسته به نوع آسیب و شرایط دندان، مواد پرکننده متفاوتی می‌توانند مورد استفاده قرار بگیرند که هرکدام ویژگی‌ها، مزایا و معایب خاص خود را دارند. در این مقاله با مراحل پر کردن دندان، انواع مواد پرکننده، مراقبت‌های بعد از پر کردن دندان و هزینه این تکنیک رایج آشنا خواهید شد.

چه زمانی باید دندان‌ها را پر کرد؟

موارد زیر از رایج‌ترین علائمی هستند که می‌توانند نشان‌دهنده نیاز شما به پر کردن دندان باشند:

  • مشاهده سوراخ یا حفره روی سطح دندان
  • وجود لکه‌های تیره که با مسواک پاک نمی‌شوند.
  • گیر کردن مداوم غذا بین بخش‌های خاصی از دندان
  • ترک خوردگی یا لب پریدگی دندان
  • حساسیت به غذا ها و نوشیدنی‌ های سرد یا گرم
  • احساس ناصافی یا سایش روی سطح دندان
  • و پوسیدگی دندان که ممکن است همراه با درد یا بدون درد باشد.

خالی کردن دندان

اگر یک یا چند مورد از این علائم را تجربه می‌کنید، بهتر است هرچه سریعتر به دندانپزشک مراجعه کنید. تشخیص و درمان زودهنگام، مانع از پیشرفت آسیب و نیاز به درمان‌های پیچیده‌ و پر هزینه در آینده خواهد شد.

مراحل پر کردن دندان

اگرچه بسیاری از افراد تجربه این درمان را داشته‌اند، اما آشنایی با مراحل آن می‌تواند دید بهتری نسبت به این فرآیند ایجاد کند و به کاهش اضطراب بیماران کمک کند. مراحل اصلی پر کردن دندان در مطب دندانپزشکی عبارتند از:

۱- بی‌حسی موضعی:

در مرحله اول، دندانپزشک ناحیه اطراف دندان آسیب دیده را با استفاده از بی‌حسی موضعی، کاملاً بی‌حس می‌کند تا بیمار هنگام درمان، احساس درد نداشته باشد.

۲- برداشتن پوسیدگی:

پس از بی‌حس شدن ناحیه، دندانپزشک با استفاده از ابزارهایی مانند مته دندانپزشکی، لیزر یا دستگاه‌های اولتراسونیک، بافت‌های پوسیده یا آسیب دیده دندان را به طور کامل جدا می‌کند. این مرحله نیازمند دقت بالایی است تا تمام پوسیدگی‌ها بدون آسیب به بافت سالم دندان برداشته شوند.

۳- تمیزکاری و آماده سازی حفره:

زمانی که پوسیدگی کاملاً برداشته شد، دندانپزشک حفره به وجود آمده را کاملاً تمیز و ضدعفونی می‌کند. در صورتی که پوسیدگی به ناحیه عمیق‌تری از دندان نفوذ کرده باشد، ممکن است پیش از پر کردن، یک لایه محافظ از جنس گلاس آینومر یا مواد مشابه در کف حفره قرار بگیرد تا از عصب دندان محافظت شود.

۴- پر کردن حفره:

در این مرحله، حفره تمیز شده با یکی از مواد پرکننده دندان (مانند آمالگام، کامپوزیت، گلاس آینومر و…) پر می‌شود. انتخاب نوع ماده پرکننده به محل دندان، شدت آسیب و نظر دندانپزشک بستگی دارد.

۵- پولیش نهایی:

در پایان، دندانپزشک سطح دندان را با دقت پولیش می‌کند تا با سایر دندان‌ها هماهنگ باشد و فرد برای جویدن دچار مشکل نشود. این مرحله باعث می شود دندان ترمیم شده ظاهری طبیعی، صاف و بدون برجستگی یا تیزی داشته باشد.

*نکته : اگر از مواد همرنگ دندان (کامپوزیت) برای پر کردن استفاده شود، مراحل کمی متفاوت خواهد بود:

در این حالت، ماده پرکننده به صورت لایه لایه داخل حفره قرار می‌گیرد و هر لایه با نور مخصوص این کار سفت می‌شود. سپس دندانپزشک فرم نهایی دندان را شکل می‌دهد تا کاملاً طبیعی و هماهنگ با سایر دندان‌ها باشد.

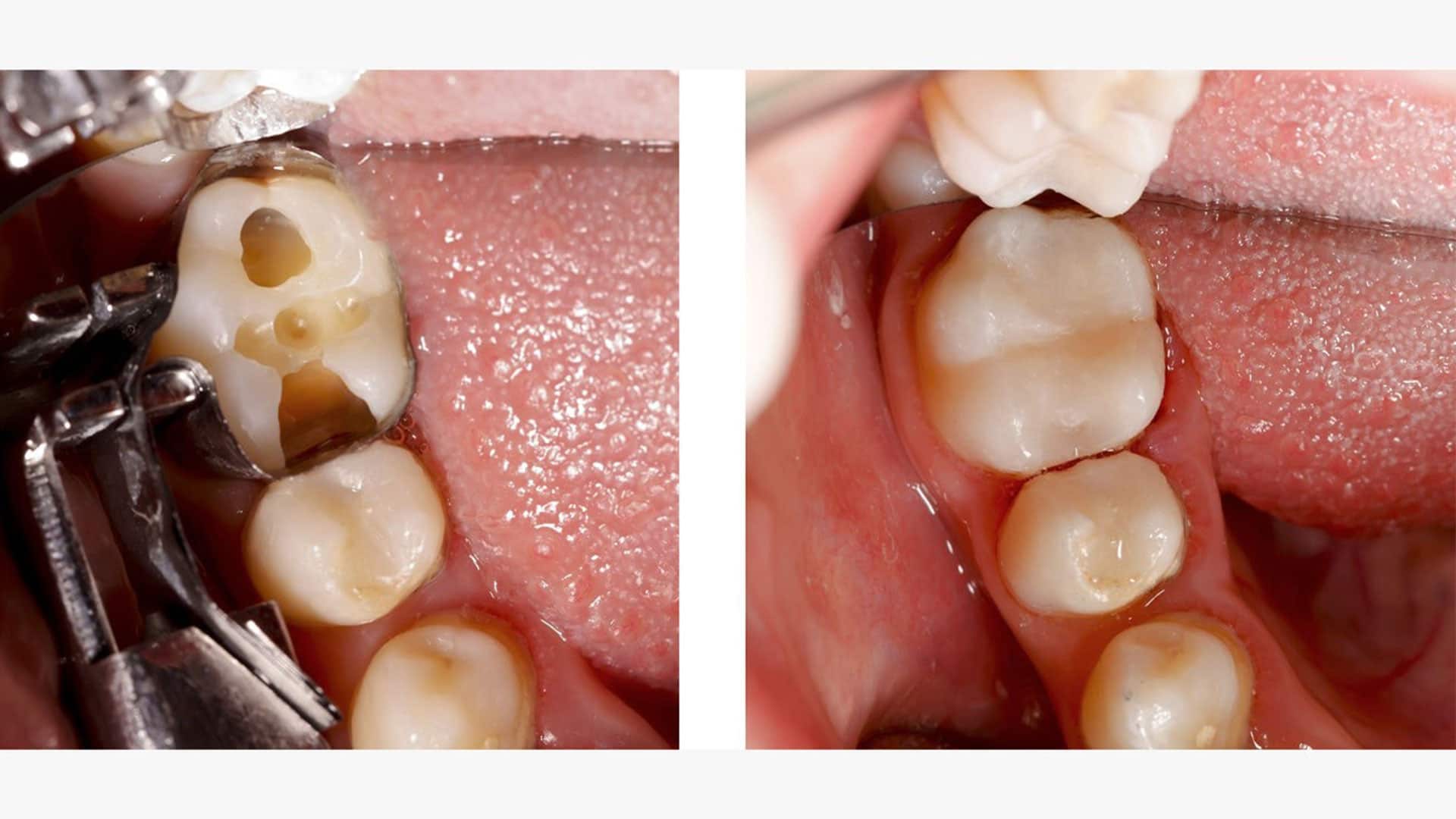
قبل و بعد پر کردن دندان

انواع مواد برای پر کردن دندان

مواد پرکننده به طور کلی به دو دسته همرنگ و غیرهمرنگ تقسیم می‌شوند. مواد همرنگ دندان معمولاً برای دندان‌هایی که در معرض دید قرار دارند (مثل دندان‌های جلو) استفاده می‌شوند. در حالی که مواد غیر همرنگ بیشتر برای دندان‌هایی که تحت فشار زیاد قرار دارند و کمتر در معرض دید هستند، مناسب می‌باشند.

در ادامه به بررسی انواع مواد پرکننده همرنگ و غیرهمرنگ دندان می‌پردازیم:

۱-آمالگام نقره:

آمالگام یکی از پرکاربردتربن و رایج‌ترین پرکننده‌های دندان است. این ماده فلزی از نقره، مس، قلع و جیوه ساخته می‌شود و استحکام بالایی دارد. به همین دلیل برای دندان‌های آسیاب که تحت فشار جویدن قرار می‌گیرند، گزینه بسیار مناسبی است. هزینه این پرکننده نسبت به سایر مواد پرکننده پایین‌تر است و طول عمر بالایی (۱۰ تا ۱۵ سال) نیز دارد.

آمالگام نقره

اما عیب آمالگام این است که نقره‌ای رنگ است و با رنگ طبیعی دندان همخوانی ندارد. علاوه بر این، به دلیل وجود جیوه در ساختار آن ممکن است نگرانی‌هایی در مورد ایمنی آن وجود داشته باشد، گرچه شواهد علمی نشان می‌دهند که خطرات آن بسیار کم است.

۲- کامپوزیت :

این پرکننده همرنگ دندان است و برای دندان‌های جلو که در معرض دید هستند، بسیار مناسب می‌باشد. کامپوزیت به ساختار دندان متصل می‌شود و ظاهری طبیعی ایجاد می‌کند.

با این حال، دوام آن نسبت به آمالگام کمتر است و طول عمر آن معمولاً ۵ سال است. از طرفی این پرکننده فشار زیاد جویدن را به خوبی تحمل نمی‌کند؛ بنابراین برای دندان‌های آسیاب توصیه نمی‌شود. هزینه آن نیز بیشتر از آمالگام است و زمان بیشتری برای نصب آن لازم است.

۳- طلا :

طلا یکی از بادوام‌ترین مواد برای پر کردن دندان است که می‌تواند فشارهای شدید جویدن را به خوبی تحمل کند. عمر پرکننده‌های طلا بین ۱۰ تا ۱۵ سال است و در این مدت هیچگونه خوردگی یا ریزشی ندارد.

از آنجایی که ظاهر طلا طبیعی به نظر نمی‌رسد، از این پرکننده بیشتر برای دندان‌های آسیاب استفاده می‌شود. این ماده بسیار گران است و هزینه آن تا ۱۰ برابر بیشتر از آمالگام می‌باشد.

۴-سرامیک:

پرکننده‌های سرامیکی معمولاً از پرسلن ساخته می‌شوند و طبیعی‌ترین ظاهر را به دندان‌ها می‌دهند. این مواد در برابر لکه‌ها مقاوم هستند و عمر آن‌ها می‌تواند به ۱۵ سال برسد.

پر کردن با سرامیک

پرکننده‌های سرامیکی برای دندان‌های جلو که در معرض دید هستند، بسیار ایده‌آل می‌باشند. البته به دلیل قیمت بالا معمولاً گزینه رایجی بین افراد محسوب نمی‌شوند.

۵-گلاس آینومر:

این ماده برای پر کردن دندان‌های زیر خط لثه یا دندان‌های کودکان کاربرد دارد. گلاس آینومر به خاطر آزاد کردن فلوراید می‌تواند از دندان‌ها در برابر پوسیدگی محافظت کند. عمر آن حدود ۵ سال است و از نظر دوام به اندازه سایر مواد مقاوم نیست. همچنین در برابر سایش و شکستگی حساس‌تر است، اما هزینه آن تقریباً مشابه کامپوزیت است.

بهترین ماده برای پر کردن دندان چیست؟

نمی توان به طور قطعی گفت که کدام ماده، بهترین گزینه برای پر کردن دندان است؛ زیرا انتخاب مناسب‌ترین پرکننده به شرایط خاص هر بیمار و ویژگی‌های دندان آسیب دیده بستگی دارد. در ادامه، مهم‌ترین عوامل مؤثر در این انتخاب را بررسی می‌کنیم:

  1. اندازه و عمق حفره دندانی: اگر پوسیدگی وسیع باشد یا بخش زیادی از ساختار دندان از بین رفته باشد، نمی‌توان از آمالگام استفاده کرد و استفاده از کامپوزیت یا گلاس آینومرها گزینه بهتری خواهد بود.
  2. محل قرارگیری دندان: اگر دندان آسیب دیده در ناحیه جلویی دهان قرار دارد و هنگام خندیدن یا صحبت کردن دیده می‌شود، بهتر است از مواد همرنگ دندان مانند کامپوزیت یا سرامیک استفاده شود. اما در مورد دندان‌های عقبی که در معرض دید نیستند، ویژگی‌هایی مانند استحکام و دوام بیشتر اهمیت دارند.
  3. میزان فشار وارد بر دندان هنگام جویدن: دندان‌هایی که هنگام غذا خوردن تحت فشار زیادی قرار می‌گیرند، برای پرشدن به مواد مقاوم تری نیاز دارند. در این موارد، استفاده از آمالگام یا سایر پرکننده‌های فلزی که دوام بالایی دارند، منطقی‌تر است.
  4. حساسیت یا آلرژی به برخی مواد: برخی افراد ممکن است به مواد فلزی به ویژه جیوه موجود در آمالگام حساسیت داشته باشند. در این صورت، بهتر است از جایگزین‌هایی مانند کامپوزیت، سرامیک یا گلاس آینومر استفاده شود که فاقد فلز هستند.

عوارض و مشکلات احتمالی بعد از پر کردن دندان

پس از پر کردن دندان، برخی افراد ممکن است با عوارضی مواجه شوند. بعضی از این عوارض کاملاً طبیعی و موقتی هستند، اما برخی دیگر نیاز به پیگیری و درمان دارند. شایع‌ترین عوارض پر کردن دندان عبارتند از:

۱-حساسیت دندان : یکی از شایع‌ترین عوارض پس از پر کردن دندان، حساسیت به گرما، سرما یا غذاهای شیرین است. این حساسیت معمولاً طی چند هفته به طور طبیعی برطرف می‌شود و نیازی به مصرف دارو ندارد. با این حال، اگر بیشتر از دو تا چهار هفته ادامه پیدا کرد، حتما با دندانپزشک خود در میان بگذارید.

۲-احساس درد هنگام جویدن: گاهی بعد از پر کردن دندان، فرد هنگام جویدن غذا دچار دندان درد می‌شود. این درد می‌تواند به دلایل مختلفی ایجاد شود و نیاز به بررسی تخصصی توسط دندانپزشک دارد.

۳-آلرژی به مواد پر کننده: برخی افراد ممکن است به فلزات موجود در مواد پرکننده به خصوص آمالگام، حساسیت داشته باشند. علائم این آلرژی معمولاً مشابه آلرژی‌های پوستی مانند خارش یا التهاب است.

۴-خوردگی یا ترک خوردن مواد پرکننده: فشارهای مداوم ناشی از جویدن یا دندان قروچه ممکن است باعث ترک خوردن یا ساییدگی مواد پرکننده شود. گاهی این آسیب‌ها بدون درد یا علامت هستند و فقط طی معاینه دندانپزشک قابل تشخیص می‌باشند. به همین دلیل توصیه می‌شود هر شش ماه یک بار برای معاینه به دندانپزشک مراجعه کنید.

جهت مشاوره و تعیین وقت رایگان با متخصصان ما، با شماره تلفن ۸۸۵۵۸۶۰۶ تماس بگیرید.

دندان درد

مراقبت‌های بعد از پر کردن دندان

برای اینکه مواد پرکننده دندان دوام بیشتری داشته باشند و از بروز مشکلات احتمالی جلوگیری شود، رعایت نکات مراقبتی زیر ضروری است:

  • تا زمانی که اثر بی‌حسی از بین نرفته است، از خوردن غذاها و نوشیدنی‌های خیلی گرم یا خیلی سرد خودداری کنید، زیرا ممکن است بدون اینکه متوجه شوید به بافت‌های داخل دهان آسیب بزنید.
  • تا چند روز پس از پر کردن دندان از خوردن مواد غذایی سفت، چسبناک یا شکننده مانند آجیل، شکلات‌های کاراملی و یخ پرهیز کنید. خوردن این مواد غذایی ممکن است باعث جابجایی یا آسیب به مواد پرکننده شود.
  • در صورت داشتن عادت دندان قروچه، استفاده از محافظ دهان هنگام خواب یا در مواقع تنش ضروری است تا فشار اضافی به دندان پر شده وارد نشود.
  • رعایت بهداشت دهان و دندان نقش کلیدی در حفظ دوام مواد پرکننده دارد. حداقل دو بار در روز با خمیردندان حاوی فلوراید مسواک بزنید و از نخ دندان و دهان‌شویه آنتی باکتریال استفاده کنید.
  • در صورت مشاهده هرگونه ترک یا شکستگی در محل دندان پر شده، بلافاصله به دندانپزشک مراجعه کنید. ورود بزاق یا مواد غذایی به شکاف‌های ایجاد شده می تواند باعث پوسیدگی مجدد دندان شود.

هزینه پر کردن دندان چقدر است؟

هزینه پر کردن دندان یک رقم ثابت و مشخص نیست و به عوامل مختلفی بستگی دارد. نوع ماده‌ای که برای پر کردن دندان انتخاب می‌شود، یکی از مهم‌ترین عوامل تأثیرگذار است. به عنوان مثال، پر کردن دندان با کامپوزیت به دلیل ظاهر طبیعی‌تر و تکنیک حساس‌تری که نیاز دارد، معمولاً گران‌تر از آمالگام است.

میزان تخصص و تجربه دندانپزشک نیز می‌تواند در تعیین قیمت نقش داشته باشد. علاوه بر این، نوع پوشش بیمه دندانپزشکی نیز در تعیین هزینه پر کردن دندان مؤثر است. برخی بیمه‌ها فقط هزینه مواد پایه مانند آمالگام را پرداخت می‌کنند و در صورت استفاده از مواد گران‌تر مانند کامپوزیت، پرداخت ما به التفاوت بر عهده بیمار خواهد بود.

عامل دیگری که نباید نادیده گرفت، میزان پوسیدگی دندان و تعداد دندان‌های آسیب دیده است. هرچه ناحیه وسیع‌تری نیاز به ترمیم داشته باشد، مسلماً زمان، مواد و دقت بیشتری لازم است و در نتیجه هزینه نیز بیشتر خواهد شد.

توصیه می‌کنیم برای اطلاع از هزینه پر کردن دندان و کسب اطلاعات بیشتر با شماره ۸۸۵۵۸۶۰۶ تماس بگیرید تا همکاران ما شما را راهنمایی کنند.

ابزارهای دندان

آیا پر کردن دندان درد دارد؟

پر کردن دندان معمولاً با بی‌حسی موضعی انجام می‌شود و به همین دلیل نباید با درد همراه باشد. حتی اگر با دندان درد به دندانپزشک مراجعه کنید، پس از تزریق داروی بی‌حسی، دردی احساس نخواهید کرد.

البته زمانی که اثر داروی بی‌حسی از بین می‌رود، ممکن است درد خفیفی را احساس کنید. این درد معمولاً با مصرف داروهای بدون نسخه برطرف می‌شود.

آیا پس از پر کردن دندان می‌توان غذا خورد؟

در اغلب موارد، بلافاصله پس از خروج از مطب دندانپزشکی می‌توانید غذا بخورید. اما اگر بی‌حسی هنوز ادامه دارد، بهتر است حداقل دو ساعت صبر کرده و سپس از غذاهای نرم استفاده کنید. همچنین توصیه می‌شود تا ۲۴ ساعت از خوردن مواد غذایی سفت و چسبنده خودداری کنید تا به ماده پرکننده آسیبی وارد نشود.

آمالگام بهتر است یا کامپوزیت؟

انتخاب نوع ماده پرکننده به عوامل زیادی بستگی دارد. اما به طور کلی، اگر دندان‌های جلویی نیاز به ترمیم دارند، کامپوزیت به دلیل هماهنگی با رنگ دندان، انتخاب مناسب تری است؛ اما برای دندان‌های عقب که فشار زیادی هنگام جویدن به آن‌ها وارد می‌شود، آمالگام به دلیل استحکام بیشتر گزینه‌ مناسب‌تری محسوب می‌شود.

آیا جیوه موجود در آمالگام خطرناک است؟

در سال‌های اخیر نگرانی‌هایی در خصوص جیوه موجود در آمالگام مطرح شده، اما تاکنون شواهد علمی قطعی مبنی بر مضر بودن آن برای سلامتی انسان ارائه نشده است. با این حال، به دلیل احتمال اثرگذاری بر سیستم عصبی، توصیه می‌شود کودکان، زنان باردار و افراد مبتلا به بیماری‌های عصبی یا کلیوی از آمالگام استفاده نکنند.

آیا پر کردن دندان در دوران بارداری مجاز است؟

بیشتر خدمات دندانپزشکی از جمله پر کردن دندان در دوران بارداری قابل انجام هستند. با این حال، بهتر است پیش از انجام آن با پزشک متخصص مشورت شود. توصیه می‌شود در این دوران از آمالگام استفاده نشود، چراکه جیوه موجود در آن ممکن است روی رشد مغز و سیستم عصبی جنین تأثیرگذار باشد.

دندانپزشکی در بارداری

آیا دندان پرشده را می‌توان سفید کرد؟

خیر، مواد پرکننده مانند آمالگام یا کامپوزیت به فرآیند بلیچینگ یا سفید کردن دندان پاسخ نمی‌دهند. بنابراین اگر قصد دارید دندان‌هایتان را سفید کنید، بهتر است پیش از انجام ترمیم با دندانپزشک خود مشورت کنید.

طول عمر دندان پرشده چقدر است؟

طول عمر دندان پر شده به نوع ماده پرکننده و میزان مراقبت از دندان بستگی دارد. به عنوان مثال، آمالگام می‌تواند از ۱۰ تا ۱۵ سال دوام بیاورد، در حالی که طول عمر کامپوزیت معمولاً بین ۵ تا ۱۰ سال است.

در یک جلسه چند دندان را می‌توان پر کرد؟

تعداد دندان‌هایی که در یک جلسه قابل ترمیم هستند به شرایط بیمار و میزان تحمل او بستگی دارد. بسیاری از دندانپزشکان توصیه می‌کنند که بیش از سه دندان در یک جلسه ترمیم نشود تا دقت کار حفظ شده و دهان فرصت استراحت داشته باشد.

پر کردن یک دندان چقدر زمان می‌برد؟

مدت زمان لازم برای پر کردن هر دندان به نوع ماده مصرفی بستگی دارد. پر کردن با آمالگام معمولاً کمتر از یک ساعت زمان می‌برد، درحالیکه پر کردن دندان با کامپوزیت ممکن است کمی بیشتر طول بکشد. برخی از روش‌ها نیز نیاز به دو مرحله درمانی دارند.

جمع‌بندی

در نهایت، پر کردن دندان یکی از رایج‌ترین و مؤثرترین روش‌ها برای ترمیم دندان‌های آسیب دیده است. این فرایند معمولاً بدون درد انجام می‌شود و به بازگرداندن عملکرد طبیعی دندان کمک می‌کند. اگر علائم پوسیدگی دندان را تجربه می‌کنید، بهتر است زمان را تلف نکرده و سریعاً برای درمان اقدام کنید تا از بروز مشکلات جدی‌تر جلوگیری کنید.

برای مشاوره و دریافت نوبت از دندانپزشکان متخصص ما در کلینیک آدنیس می‌توانید با شماره ۸۸۵۵۸۶۰۶ تماس بگیرید.